Dr. Ray Peat, PhD, was a biologist who developed a model for nutrition based on optimizing energy. He was an expert on the thyroid gland, a small gland in the neck area that directs energy metabolism of all the cells in our bodies. His nutritional advice aimed to optimize the health of the thyroid gland.
Hypothyroidism is a condition of under-activity of the thyroid gland that can lead to many chronic diseases including periodontal disease. This article will review Dr. Ray Peat’s nutritional advice for thyroid health and describe the applications for periodontal and gum disease.
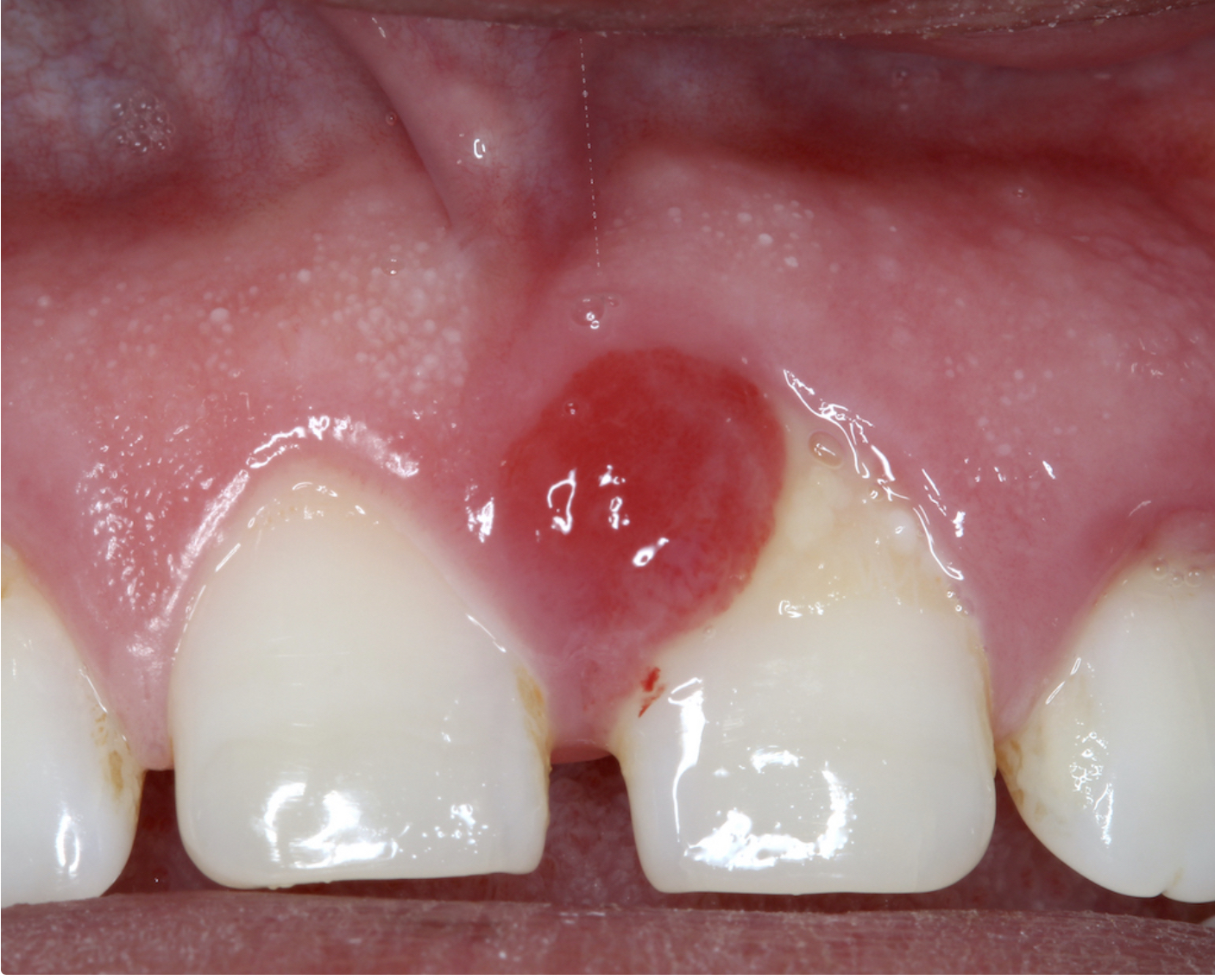
What Is Periodontal And Gum Disease?

Periodontal disease, or gum disease, is an infectious and inflammatory condition of the gums and bone around teeth that ultimately leads to tooth loss. One of the hallmark clinical signs of active periodontal disease is bleeding of the gums. Periodontal disease is the result of dysbiosis of the mouth, where pathogenic microbes that are normally quiet find an opportunity to grow and disturb the balance in the oral microbiome.
The infectious agents of gum disease can spread via the lymphatics and circulation to other organs and cause bodily diseases. Several studies have shown that periodontal disease plays a causative role in heart attacks and Alzheimer’s disease.
Periodontal disease can be effectively treated with LANAP laser treatment that specifically targets the pathogenic bacteria of gum disease. But unless the underlying causative factors are not addressed, the disease will quickly recur. Studies have shown that hypothyroidism is linked to periodontal disease. A diet, therefore, that optimizes the health of the thyroid gland can also improve periodontal disease.
Dr. Ray Peat’s Nutritional Recommendations
Dr. Peat was a huge fan of eating ripe fruit, honey, natural sugar, milk, cheese, dairy, occasional seafood to supply iodine, eggs, bone broth, carrots or other root vegetables, and occasional red meat to supply iron and selenium.
How Dairy Nourishes Teeth And Bones
Milk, cheese, yogurt and other dairy products are a great source of bio-available calcium. Calcium is an essential mineral for building strong teeth and jaw bones that are resistant to teeth decay and bone loss around teeth. Regenerative procedures that aim to reverse periodontal disease such as LANAP rely on a good source of calcium to rebuild the lost bone. Many studies have shown that supplementation with calcium can have adverse side effects and that calcium is a mineral that is best obtained from the diet.
The incorporation of dairy into the diet also helps reduce mouth acidity and balance the oral pH. Tooth decay and periodontal disease require an acidic pH in the oral environment and foods that can neutralize mouth acidity promote oral health.
In addition to providing calcium, milk is a good sources of other minerals such as magnesium. Magnesium is an essential co-factor for the enzyme alkaline phosphatase that builds strong bones. It is thought that magnesium deficiency is a world-wide phenomenon and many people can benefit from including magnesium-rich foods into the diet.
Delicious Fruits Packed with Vitamin C for Healthy Gums
The inclusion of ripe fruit promotes oral health in many ways. Fruits are a good source of natural Vitamin C. Vitamin C plays a critical role in periodontal health. In fact, Vitamin C was first discovered in sailors deprived of fresh fruits that developed bleeding gums and scurvy. Vitamin C helps to fight the infection of periodontal disease. In addition, Vitamin C is essential for building collagen for strong gums and bone.
Carrots: Nature’s Antibiotic For Better Health
Carrots also support oral and periodontal health. Carrots have been found to contain natural antibiotics. A study found that shredded carrots provide the host with natural resistance against food-borne illnesses.
How Iodine-Rich Foods Can Improve Gum Disease
Iodine, found in sea food and sea vegetables, is essential for fighting gum disease. Iodine is naturally antimicrobial. The thyroid gland requires iodine to produce its health-promoting hormones. While the addition of iodine to salt has been effective at reducing goiter, the quantities are not enough for optimizing the thyroid gland. Our requirements for iodine have increased due to the addition of the chemicals bromine, chlorine and fluorine to our foods and drinking water. These chemicals compete with iodine in the thyroid gland and can cause subclinical hypothyroidism.
Wild shrimp, scallops, and oysters are the best sources of iodine. If you have a shellfish allergy, sea vegetables such as sea beans and seaweed can also provide dietary iodine. Seaweed salt is another option for seasoning foods and broths while naturally adding iodine to your meals.
Bone Broth: A Great Source of Natural Collagen
People have consumed chicken soup and similar broths for ages to combat the common cold and other illnesses. Bone broth contains L-glutamine, a natural antimicrobial that can assist in combating periodontal disease and leaky gut. Slowly cooking the broth for several hours allows the collagen from the bones to merge into the broth, promoting gum and bone health.
Eggs: A Super Food

Eggs are a super food rich in Vitamins D, K2, B complex, biotin, and choline. These vitamins are essential for oral health, healthy gums and teeth. It is crucial to consume the egg yolk, not just the egg white, to benefit from its nutritional value. When purchasing eggs, opt for soy-free and corn-free options to ensure quality.
Dr. Ray Peat: A Luminary
Dr. Ray Peat was a luminary whose research and writings dedicated to health have helped millions of people around the world. His nutritional recommendations are grounded in science and also common sense. We have known for centuries through observations that these foods are health-promoting and Dr Peat showed us why.








